Z7_NQ5E12C0LGVH60QQIE6T52JBD3
Portal U de A - Cabezote - WCV(JSR 286)
Z7_NQ5E12C0LGVH60QQIE6T52JBT2
Signpost
ONSB
Z7_NQ5E12C0LGVH60QQIE6T52JNJ3
Portal U de A - Visor de Contenido - WCV(JSR 286)
Z7_NQ5E12C0LGVH60QQIE6T52JNB0
Portal U de A - Visor de Contenido - WCV(JSR 286)
Z7_NQ5E12C0LGVH60QQIE6T52JB30
UdeA - Información Menú - WCV(JSR 286)
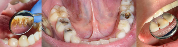
Morbilidad bucal
1. Medida de Indice COP en niños de 12 años en el país.
Estudio | Indice COP niños 12 años en Colombia |
ENSAB III | 2.3 dientes afectados |
ENSAB IV | 1.5 dientes afectados |
Con relación a la referencia internacional dada por la OMS la cifra es de 3.0 dientes afectados , sin embargo, la experiencia de caries se ha incrementado en todos los grupos de edad aunque la prevalencia se ha reducido. Es de notar que este índice no incluye estadios tempranos de caries y por otra parte, que el incremento en el índice obedece a la elevación de dientes perdidos más que obturados, lo que denota limitaciones en la gestión para la atención.
Tomado de ENSAB IV
2. Experiencia de Caries Dental
La experiencia de caries hace referencia a la proporción de personas que, al momento del examen en el estudio, presentan evidencia de haber sufrido en algún momento de su vida, caries en alguna de sus fases.
Experiencia de caries dental (COP: cariados, obturados, perdidos) |
Dentición temporal |
Niñ@s 1 año= 6% |
Niñ@s 3 años= 47% |
Niñ@s 5 años= 62% |
Dentición Mixta |
Niñ@s 5-12 años= 60% |
Dentición permanente |
adolescentes 12 años= 54% |
adolescentes 18 años= 75% |
adultos 65 a 79 años= 96% |
Tomado de ENSAB IV
Experiencia de caries dental (COP modificado: incluyendo estadio de caries incipiente) |
Dentición temporal |
Niñ@s 1 año= 29% |
Niñ@s 3 años= 83% |
Niñ@s 5 años= 88% |
Dentición Mixta |
Niñ@s 5-12 años= 92% |
Dentición permanente |
Adolescentes 12 años= 95% |
Adultos 65 a 79 años= 97% |
Tomado de ENSAB IV


Z7_NQ5E12C0LGVH60QQIE6T52JB32
Portal U de A - Redes Sociales - WCV(JSR 286)
Z7_NQ5E12C0LGVH60QQIE6T52JB31